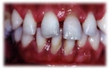
Problemas periodontais podem afetar a fertilidade feminina
Notícias - 12/10/2011
Uma pesquisa da Universidade do Oeste da Austrália sugere que uma higiene bucal precária é tão ruim para a fertilidade de uma mulher quanto a obesidade, fazendo com que elas demorem em média dois meses a mais para engravidar.
Mais de 3,5 mil mulheres participaram do estudo, e aquelas com problemas de gengiva apresentaram níveis elevados de marcadores para inflamação no sangue. A pesquisa foi apresentada durante uma conferência sobre fertilidade na Suécia e, segundo os pesquisadores, mulheres com gengivas doentes precisaram de sete meses para conceber, comparados com o prazo considerado normal, de cinco meses.
De acordo com os pesquisadores, a causa pode estar ligada à doença periodontal, e senão for tratada, pode desencadear uma série de reações capaz de prejudicar ofuncionamento normal do corpo.
A doença periodontal já foi ligada à doenças cardíacas, diabetes tipo 2, e aborto, além de baixa qualidade do esperma em homens.