Dentes sensiveis:saibas suas causas e o seu tratamento
Artigos - 03/07/2011
Dor que ocorre, geralmente na região do colo do dente, próxima à gengiva, provocada pela escovação, ingestão de alimentos frios, doces, frutas cítricas etc. A dor cessa assim que o estímulo é removido, é de curta duração, tendendo a desaparecer com a mesma rapidez com que se inicia.
A hipersensibilidade nunca começa espontaneamente como acontece comumente com outras causas de dor nos dentes. Entretanto, a distinção entre hipersensibilidade e dor de dente deve ser feita pelo dentista.
A hipersensibilidade significa que a polpa dental (o “nervo” do dente) está doente?
Não, já que a dor é decorrente de mudanças de pressão dentro do dente, provocadas pela variação da temperatura ou por outros estímulos na superfície. Não tem relação com alterações patológicas da polpa dental.
Então, por que o dente dói?
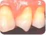
Em condições normais, a coroa do dente (a parte exposta na cavidade bucal) é recoberta pelo esmalte, estrutura resistente às pressões e ao desgaste decorrentes da mastigação (Figura 1). Essa estrutura é praticamente impermeável e definitivamente insensível aos estímulos. As raízes são recobertas por outro tipo de estrutura, denominada cemento. Com o passar do tempo, esmalte e cemento sofrem degradações (Figura 2) que expõem a dentina, estrutura também dura e resistente e que abriga a polpa dental. Dessas estruturas, somente a dentina apresenta sensibilidade. A dentina é bastante permeável, constituída de milhões de canais microscópicos (Figura 1) que, em teoria, ligam a polpa com meio externo quando o esmalte ou o cemento são desgastados. Sem o cemento e o esmalte, a dentina fica sem proteção e sujeita às agressões do meio externo.
Qual a relação da hipersensibilidade dentinária com as lesões cervicais não cariosas?
A hipersensibilidade dentinária ocorre mais comumente na região cervical do dente (colo), onde o esmalte e o cemento são degradados com maior freqüência, expondo a dentina. Quando essa exposição dentinária não é provocada por processo de cárie dental, a área exposta é considerada uma lesão cervical não cariosa (Figura 2). A prevalência dessas lesões é alta, e pode-se antecipar que, em algum momento da vida, qualquer indivíduo poderá ter, pelo menos, um dente com lesão cervical não cariosa.
Quais as causas mais comuns de lesões cervicais não cariosas?
Essas lesões são resultado de uma interação de fatores, em que os mais importantes são a oclusão (contato entre os dentes antagonistas), a alimentação rica em ácidos (frutas cítricas e refrigerantes em excesso, por exemplo) e a escovação dental. A oclusão promove a fadiga das estruturas dentárias na região do colo, as substâncias ácidas causam a dissolução do esmalte e a escovação remove mecanicamente o esmalte enfraquecido ou dissolvido. Fatores sistêmicos também podem contribuir para a degradação das estruturas dentárias, tais como refluxo gastroesofágico, bulimia, hipertireoidismo e qualquer outra doença que reduza o fluxo salivar.
Como tratar a hipersensibilidade dentinária?
O dentista deve empregar os recursos dessensibilizadores (o que pode incluir a restauração das lesões e ajustes oclusais) para reduzir o desconforto imediato da dor e, complementarmente, eliminar as causas da exposição dentinária para impedir a recorrência da hiperestesia.