Aprenda o que fazer nos traumas dentários em crianças
Notícias - 13/08/2011
Outro período preocupante é a primeira infância, quando a criança tem de 10 a 24 meses e está aprendendo a andar. “O risco do trauma aumenta, pois o bebê ainda não tem coordenação motora suficiente e nem reflexo de proteção estabelecido”, afirma Sandra Kalil Bussadori, professora da Universidade Nove de Julho (Uninove).
Com boa parte do tempo destinada às brincadeiras, as crianças estão mais suscetíveis às quedas, o que favorece o aumento do número de acidentes envolvendo os dentes. “Bicicleta, skate, patins, esportes de contato são atividades que podem ocasionar traumas dentais”, avisa Dra. Constanza Odebrecht, consultora técnica da FGM Produtos Odontologicos e professora da Faculdade de Odontologia de Joinville (Univille).
Outro período preocupante é a primeira infância, quando a criança tem de 10 a 24 meses e está aprendendo a andar. “O risco do trauma aumenta, pois o bebê ainda não tem coordenação motora suficiente e nem reflexo de proteção estabelecido”, afirma Sandra Kalil Bussadori, professora da Universidade Nove de Julho (Uninove).
Por isso, a prevenção é importante. Cuidados simples podem evitar muitos acidentes. “Assim que os bebês começam a engatinhar, é recomendável não manter muitos móveis na casa, proteger quinas e gavetas, além de evitar meias e pisos molhados. Quando ficam mais crescidos é importante a supervisão de um adulto durante as brincadeiras; o cuidado com escadas, janelas e portões; e o uso de protetores bucais. É necessário ainda atenção aos fatores predisponentes aos traumatismos como alteração da oclusão, por exemplo”, ensina Dra. Sandra.
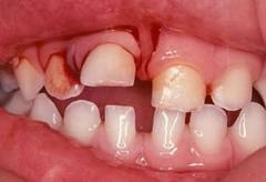
Para que haja sucesso no tratamento do trauma é imprescindível que a busca ao auxílio odontológico seja feita imediatamente. A busca tardia resulta na maioria das vezes num procedimento menos conservador e até a perda do elemento afetado. Mesmo em casos de traumatismos mais leves a consulta e radiografia são necessários, pois no caso das crianças há a formação do dente permanente, que muitas vezes pode ser afetado. O controle periódico se faz imprescindível.
O que fazer no momento do trauma
Se apesar das precauções, o traumatismo ocorreu, deve-se avaliar a extensão do dano e manter a calma. “Caso haja cortes ou sangramento, coloque uma compressa de gaze ou pano limpo e pressione bastante para conte-lo. Havendo fratura dental, deve-se colocar os fragmentos em água ou soro fisiológico, pois muitas vezes eles poderão ser colados e procurar imediatamente um dentista”, aconselha Dra. Constanza.
No caso de perda total do dente, deve-se proceder da seguinte maneira:
- Manter a calma e fazer com que o acidentado morda uma gaze ou um pano limpo, com pressão para que se possa controlar o sangramento.
- Achar o dente.
- Pegar o dente somente pela coroa. Não tocar na raiz.
- Colocar o dente de volta no seu lugar (no alvéolo) na boca do acidentado. Observar que a parte côncava do dente é do lado de dentro da boca. Fazer morder uma gaze ou um pano limpo, para que o dente se mantenha na posição. Procurar imediatamente um dentista.
- Caso não seja possível colocar o dente em sua posição, deve-se mantê-lo em uma solução de soro fisiológico e procurar imediatamente um dentista. O resultado final de um re-implante depende muito do período que o dente fica fora do alvéolo e da conservação dele nesse período. O dente deverá ficar fora de seu alvéolo o menor tempo possível.
O dente permanente re-implantado deverá ser “fixado” pelo dentista em sua posição e ter o seu canal tratado; mesmo assim, com o decorrer do tempo, haverá uma diminuição do tamanho de sua raiz. O tempo médio da permanência de um dente re-implantado na boca é de um até cinco anos; muitas vezes, esse tempo é o necessário para que a oclusão (mordida) se defina e novas condutas possam ser tomadas.
No caso de dentes de leite, a colocação de volta no lugar não é indicada, pois a probabilidade de sucesso é mínima. Em dentes permanentes, o re-implante pode ser indicado.
Tratamento
O tratamento depende do grau do trauma. Algumas vezes somente um pequeno desgaste é necessário, em outras se faz necessário a restauração com resina, a colagem do próprio fragmento dental, o tratamento de canal etc.
No caso de não encontrar os fragmentos, o dente pode ser restaurado com perfeição utilizando-se resinas que oferecem diferentes níveis de translucidez, como Resina Opallis da empresa FGM produtos Odontológicos, de forma a reconstituir o dente de forma imperceptível. Principalmente em crianças e jovens que apresentam as bordas dos dentes anteriores muito translucidas, chegando a apresentar tons azulados.
É importante o acompanhamento do caso por períodos que variam de um a cinco anos para monitorar a vitalidade pulpar (necessidade de tratamento de canal) e ocorrência de reabsorção radicular.
Quando ocorre uma trinca de esmalte não há necessidade de tratamento, entretanto é importante o acompanhamento do dente para manutenção da vitalidade pulpar por um período mínimo de 12 meses.
Se houver fratura de esmalte, dependendo da extensão, o desgaste da margem incisal é suficiente. Em outros casos, uma restauração com resina pode estar indicada. Após a reconstrução da superfície de esmalte fraturado, deve ser feita uma avaliação cuidadosa da oclusão (mordida) e hábitos parafuncionais do paciente (como o ranger os dentes).